울산삼산치과 라미네이트를 고민 중이라면 뉴욕연합치과에서

환하게 웃는 순간,
당신의 첫인상을 좌우하는 것은
가지런하고 깨끗한 치아입니다.
하지만 치아의 색이 변색되었거나
모양이 고르지 않다면
웃는 것조차 망설여질 수 있는데요.
이런 고민을 없애는
대표적인 심미 치료가
바로 라미네이트입니다.
울산삼산치과를 검색하며
치료를 고민하고 계신다면,
단순히 보기 좋은 치아를 만드는 것을 넘어
기능과 안정성까지 함께
고려하는 것이 중요합니다.
뉴욕연합치과에서는
자연스럽고 조화로운 미소를 위해
체계적인 라미네이트 치료를
진행하고 있습니다.

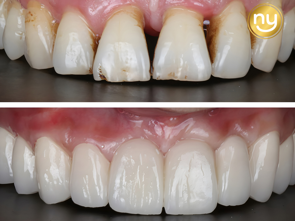
라미네이트란 무엇인가요?
라미네이트는 치아의 앞면을 얇게 삭제한 후,
세라믹 재질의 얇은 보철물을 부착하여
색상과 형태를 개선하는 심미 치료입니다.
단순 미백으로 해결되지 않는
변색이나 깨진 치아, 벌어진 치아까지
자연스럽게 개선할 수 있는데요.
울산삼산치과를 찾는 많은 분들이
단기간에 이미지 개선을 위해
라미네이트를 선택하고 있습니다.

라미네이트 시술 과정, 어떻게 진행될까요
라미네이트 시술은
정밀 진단부터 시작됩니다.
구강 상태, 치아 배열,
교합 등을 꼼꼼히 분석한 후
환자분의 얼굴형과 미소 라인을 고려한
디자인을 진행합니다.
울산삼산치과 뉴욕연합치과에서는
풍부한 임상 경험과
다양한 노하우를 가진 의료진을 통해
보다 정밀한 진료를 기대할 수 있는데요.
이후 소량 치아를 다듬고,
임시 치아를 거쳐
맞춤 제작된 라미네이트를 최종 부착하여
자연스러운 결과를 완성합니다.
이때 환자분과 충분한 상담을 통해
원하는 색상과 형태를 반영하기 때문에
만족도를 높일 수 있습니다.
울산삼산치과 뉴욕연합치과에서는
이렇게 개개인에 맞춘
라미네이트 시술을 진행하고 있는데요.
자연치와 유사한 색상으로
심미적인 개선이 가능하며,
교정보다 짧은 기간 안에
변화를 기대할 수 있습니다.
또한 치아를 거의 삭제하지 않거나
살짝 다듬는 방식으로 진행해
치아 건강까지 함께 고려하고 있습니다.

라미네이트가 필요한 분들은?
치아 변색이 심해
미백으로 개선이 어려운 경우,
앞니가 깨지거나 마모된 경우,
치아 사이가 벌어져 있는 경우에
라미네이트가 효과적입니다.
또한 중요한 일정 전 빠르게
인상을 개선하고 싶은 분들에게도
적합하다고 볼 수 있습니다.
울산삼산치과에 내원하시는 분들 중에서도
이러한 이유로 라미네이트를
선택하는 경우가 많습니다.
특히 자연스러운 이미지 개선을 원하는
직장인이나 취업 준비생들에게도
만족도가 높은 치료입니다.

시술 후 관리가 중요한 이유
라미네이트는 시술 후 관리에 따라
유지 기간이 달라질 수 있습니다.
딱딱하거나 질긴 음식은 피하고,
앞니로 물건을 뜯는 습관은
반드시 개선해야 하는데요.
정기적인 검진과 올바른 구강 관리 습관은
라미네이트의 수명을 늘리는 데
중요한 역할을 하기 때문입니다.
또한 개인의 교합 상태에 따라
마우스피스 착용이 권장되기도 하며,
이는 라미네이트 파손을
예방하는 데 도움을 줍니다.
작은 생활 습관 하나가
결과를 오래 유지하는 데
큰 차이를 만든다는 점을
기억하시는 것이 중요합니다.

울산삼산치과 선택, 결과의 차이를 만듭니다
라미네이트는 단순한 미용 시술이 아닌
자신감을 회복하는 중요한 치료입니다.
울산삼산치과를 고민하고 계신다면,
의료진의 경험과 정밀한 진단,
그리고 사후 관리까지 꼼꼼히
확인하는 것이 중요합니다.
특히 상담을 통해
현재 치아 상태를 정밀히 파악하고
개인에게 적합한 치료 계획을
세우는 것이 중요한데요.
뉴욕연합치과에서는
환자 맞춤형 진료와 치료로
자연스럽고 오래 유지되는
결과를 제공하고자 합니다.
이제는 망설이지 말고,
새로운 미소를 위한 첫걸음을
시작해 보시길 바랍니다.